He llegado hace 48 horas de un largo viaje por México y Colombia, un viaje muy productivo en el cual me lo he pasado fenomenal, he trabajado duro pero me han tratado muy bien.
Antes de irme a México, operé a una paciente a la cual le puse una aguja roscada para fijar una osteotomía Austin que le hice, además le realicé un Akin y la operé de KOller II.
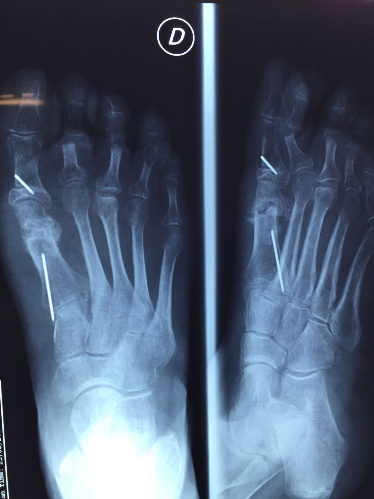
Le puse una aguja roscada por que la calidad del hueso no era nada de buena para ponerle un tornillo y por eso la aguja se la puse roscada.
Pues bien, la aguja migró, y nos ha dado un disgusto pues migró mucho. A la paciente le dolía mucho y no hubo mas remedio que volver a meterla en quirófano, operarla otra vez, localizar la aguja y sacarla.
La osteotomía Austin se dejó sin fijar, pero esto es lo que tiene la cirugía, a veces da disgustos.
Si os fijáis de la primera a la última foto, podéis ver el proceso de migración. La aguja debería estar fijando la osteotomía, no estaba fijando nada, se escurrió por la diáfisis del metatarsiano y salió por la planta del pie a nivel del arco longitudinal interno en su parte mas proximal, todo un problema para sacarla y localizarla pues no se palpaba bien.
Fijaros en la Rx como va migrando la aguja.
En esta foto se ve claramente como ha migrado, la osteotomía Akin está sin fijar y comienza a salir plantarmente por la diáfisis.
Como digo, hubo que meter de nuevo a la paciente en quirófano y sacarle la aguja, algo que no fue fácil.
Las complicaciones de las cirugías no son pocas y a veces te dan un disgusto. A mi es la primera vez que una aguja roscada me migra, si me ha pasado con agujas K sin roscar, pero una aguja roscada nunca había migrado.
Esto sucedió por que la calidad del hueso era malísima, no quiero pensar que hubiera pasado si llego a operar a la paciente por técnica MIS.
En una ocasión operé a una paciente por MIS, tenía el hueso como la carcoma y se me desmoronó todo, la cabeza del metatarsiano se deshizo.
Cuando pasa esto, cuando los problemas suceden, uno casi ni duerme, pero cuando se resuelve el problema se descansa realmente.
Al sacar la aguja, sacas un peso de tu interior, os lo aseguro.
El viaje a México y a Colombia fue un poco largo y ya tenía muchas ganas de regresar pues la verdad ha sido una paliza.
Di clase en la Escuela Mexicana de Podología al día siguiente de llegar.
A los dos día siguientes, invitado por Ortopod México y Eduardo Delgadillo, impartí unos talleres que fueron un éxito de asistencia, mas de 80 personas es unos talleres que en principio eran para 40, pero hubo que ampliar por la demanda y se impartieron en la Unidad de Congresos del Siglo XXI.
La gente quedó muy satisfecha y me invitaron para ir a impartirlos a Culiacán, pero no pude.
Inmediatamente viajé a Monterrey, invitado por el Colegio de Podiatría, donde participé en un Seminario de Podiatría, Ortopedia y Podología.
Fue otro éxito y allí me invitaron a impartir unos talleres en la UAS, Universidad Autónoma de Sinaloa, así como en Guadalajara y unas ponencias en un Seminario en Culiacán.
El Rector del C.P.M. el Dr. Fernando Vázquez y el Presidente del mismo el Dr. Javier R. Treviño fueron a recibirme al aeropuerto y dejaron despistadamente al Dr. Stephen Isham en otra terminal.
Desde Monterrey a México DF y desde allí a Tolantongo, toda una experiencia que ya contaré.
Desde México volé a Colombia, en concreto a Bogotá, donde estuve tres días, tres días intensos y productivos donde se dio un gran paso para la Podología Colombiana y donde me enorgullece haber formado parte de este proyecto que llevaba 7 años fraguándose. Se creó legalmente la Sociedad Colombiana de Podología, una Sociedad Científica que ha sido legalizada como intermediaria de la podología y las autoridades competentes colombianas, donde se han presentado los planes de estudio para la creación de la carrera de Podología, la cual ya está en trámites y se impartirá en el Instituto del Dr. Willian Bazzani,
Se firmó ante notario todos los estatutos y me propusieron se el Presidente de la Sociedad Cientifica Colombiana de Podología, algo que acepté pero primero diciendo que tal vez no era lo mas adecuado, que debería de serlo un colombiano, pero las leyes colombianas lo permitían y ante notario se firmó el acta en la cual se nombra la Junta Directiva. El proyecto de la carrera ya está en los Ministerios de Salud y de Eduación, así como la propuesta de la ley de competencias profesionales que se reivindican.
Desde Bogotá volé a Popayán donde vi a unos pacientes y operé a otros y desde allí volé a Cali, donde estaba invitado a impartir unos talleres de plantillas, de matricectomías, siliconas, verrugas-papilomas y manejo de la Dermojet. Realicé 6 cirugías en una sola tarde y al día siguiente con una paciente utilizamos la Dermojet en los dos pies.
El ir de Popayán a Cali fue otra historia que ya contaré.












