
El día de ayer es de los días que no quieres que ocurran, pero a veces, toca uno así. Ayer fui a operar a Ponferrada (León), con Miguel Angel Agudo y Jorge Buch. Operé a una señora que ya estaba operada hace cinco años por un traumatólogo pero el resultado no fue el deseado.
 |
| Jorge y Miguel Angel viendo las radiografías preoperatorias. |
 |
| Miguel Angel y yo antes de comenzar la intervención. Todo eran buenas expectativas. |

El pie era algo complicado, como podéis ver en la foto. Fijaros en los dedos, fijaros en el juanete. La mujer tiene 50 años y dolores en la planta.
 |
| Diseñando el plan quirúrgico. |

Fijaros en las siguientes radiografías, la elevación del primer metatarsiano, el segundo meta largo, dedos en garra.

Aquí podemos ver el ángulo intermetatarsiano muy abierto, lo cual, en la operación anterior no corrigieron, los sesamoideos luxados, el primer dedo en varo, insuficiencia de primer radio, segundo radio con sorbrecarga y bastante mas largo, segundo dedo infraductus, en ráfaga y supraductus sobre el tercero.

Podemos ver también un hallux varus y el 5º dedo infraductus bajo el cuarto.

Sobrecarga del segundo y tercer metatarsianos. Debajo de la cabeza del segundo metatarsiano es donde mas le duele, tan solo con la presión del dedo, la paciente se quejaba.

Comenzamos la operación anestesiando el pie, nada hacía presagiar lo que luego ocurrió durante la intervención. Además de la anestesia local el anestesista sedó profundamente y muy bien a la paciente, algo que agradecimos todos pues la operación casi duró tres horas.

Incisión dorsomedial para abordar la zona de la articulación metatarsofalángica del primer radio

Disección de la zona lateral para localizar el aductor y realizar la tenotomía del mismo, así como la recolocación de los sesamoideos.

Atrapando el tendón del aductor.

Realicé, además de la tenotomía del aductor, pequeña capsulotomía lateral pues a pesar de la tenotomía, el dedo no relajaba prácticamente nada y no se enderezaba.

A pesar de la capsulotomía, el dedo tampoco se relajaba del todo por lo cual relajamos partes blandas desde la cabeza metatarsal a falange, cediendo el dedo pero aún el tendón del extensor largo del primer dedo tiraba demasiado y formaba una gran cuerda de arco que metía el dedo hacía dentro aunque ya estaba muy relajado y lo podíamos enderezar.

Decidí elongar el tendón extensor del primer dedo y este ya se puso casi recto, pero quedaba la estructura ósea.

Capsulotomía.

Exposición de la cabeza del primer metatarsiano.

Remodelando la cabeza metatarsal.

Decidí realizarle a la paciente una osteotomía Austin de brazo dorsal largo, con pequeño alargamiento del meta y plantarflexión de la cabeza.

Realizando la osteotomía Austin triplanar.

Una vez realizada la osteotomía deslizamos la cabeza sobre el vértice del cuerpo del metatarsiano e impactamos la cabeza sobre la diáfisis, quedando muy estable.

Posteriormente cortamos el sobrante del vértice de la diáfisis que ha quedado al deslizar la cabeza hacia dentro para disminuir el ángulo intermetatarsiano, plantaflesionar la cabeza del meta y alargar un poco la longitud del primer meta.

Aquí comenzó uno de los problemas que se nos presentó. La mujer tenía un hueso frágil, con algo de osteopenia y la angulación del corte del sobrante la hicimos un poco interna con lo cual la hoja de la sierra se nos metió en diáfisis. Corregimos la situación como pudimos.

Posteriormente realicé una osteotomía Akin, osteotomía en base de la falange de brazo proximal paralelo al cartílago articular.

Con la relajación de las partes blandas, el alargamiento del tendón extensor, la osteotomía Austin triplanar y la osteotomía Akin, conseguimos poner el dedo recto. Hasta aquí todo bien.

Procedemos a la fijación con agujas Kirschner de las osteotomías.

De nuevo se nos presenta otro problema que no comprendíamos muy bien a que se debía, la paciente comenzó a sangrar. La paciente tenía la tensión normal, el manguito de isquemia estaba bien, no se había bajado de presión

Hasta este momento el sangrado podría entrar dentro de lo normal pero cuando comenzamos a suturar el sangrado se hacía mas profuso.

Terminé de suturar por planos y llevábamos hora y media de isquemia por lo cual tuvimos que quitar la isquemia. Al bajar la presión del manguito comenzó un sangrado profuso que no paraba, Miguel Angel apretaba la zona con gasas durante varios minutos y parecía que la cosa paraba, pero a los pocos instantes la incisión suturada seguía sangrando. ¿Por qué no sangraba al principio y comenzó a sangrar al final antes de suturar con la isquemia puesta?, ¿habíamos cortado algunos vasos, si es así por que comenzó a sangrar al final con la isquemía puesta?. Miguel Angel volvió a realizar compresión en la zona durante minutos que se hacían eternos y por fin parece que dejó de sangrar, pero nunca del todo.

Teníamos que seguir operando y decidí realizar la cirugía húmeda, o sea, sin isquemia. Hice la incisión dorsal del segundo dedo, segundo meta sin problema, pero después de la incisión de la piel tomé una decisión que resultó ser errónea por el problema que nos produjo. Decidí seguir operando, con el bisturí eléctrico en corte y coagulación. Cojo el bisturí eléctrico e incido en la fascia para cortar con el bisturí y cortar, ya lo creo que cortó, pero coagular, ni pizca. Aquello sangraba como un manantial. Dí un corte paralelo al tendón extensor, de fascia casi hasta hueso y la hemorragia era tremenda. Había cortado varios vasos a nivel del cuerpo del metatarsiano, algunos correspondientes al arco dorsal, de gran calibre por la forma de sangrar. Tardamos en localizar los vasos que se habían retraído y con la hemorragía no veíamos. Realicé una osteotomía acortadora y elevadora del segundo metatarsiano y aquello de nuevo, sangrando a mares. Seguimos operando y operando. Nunca me había ocurrido nada igual. Miguel Angel estuvo al menos en dos ocasiones, apretando cada vez unos diez minutos y ni por esas. Al final localicé otro vaso importante y lo electrocoagulamos. El bisturí eléctrico me había jugado una mala pasada, posiblemente estaba bajo y cortaba, pero no electrocoagulaba. Finalmente suturamos de profundidad a superficie y realicé un vendaje un poco compresivo, terminando la operación, la cual duró casi 3 horas. La paciente despertó al terminar la cirugía y la pasamos a reanimación, nos fuimos a comer y regresamos al hospital donde posteriormente le dimos el alta.
No puedo poner mas fotos ya que a Jorge se le terminó la batería de la cámara y cuando comenzó el problema serio ya no había cámara.

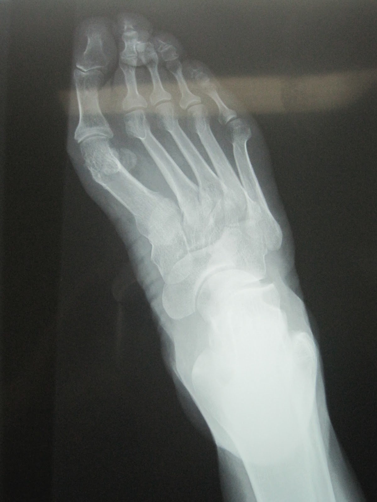
Ahora muestro las radiografía de como quedó ese pie. Esta es la foto de la radiografía preoperatoria. Fijaros de nuevo en el primer dedo en valgo, la articulación metatarsofalángica del primer radio, el ángulo intermetatarsal de primero y segundo; la longitud del segundo metatarsiano y del primero, la colocación de los dedos, la luxación de los sesamoideos, etc.

Así quedó. Esta es la radiografía post operatoria. El resultado estructural no es malo, creo que es bueno. Corrección metatarsodigital del primer radio, osteotomías correctas, la insuficiencia del primer metatarsiano corregida, dedo recto, el segundo metatarsiano acortado y casi no se nota la osteotomía la cual es flotante para elevar la cabeza, segundo dedo recto; etc. Podemos ver como se aprecia la apertura lateral de la articulación metatarso falángica del segundo radio debido a la capsulotomía lateral que le realicé. Ahora esperemos que no haya hematoma, ni infección ni cualquier otro problema mas grave como trombos, para lo cual mantenemos a la paciente polimedicada.
Hoy me ha llamado Miguel Angel y me ha dicho que la paciente se encuentra bien, no ha tenido dolores, ni ha habido hemorragia. La zona está bien y la coloración es normal, tan solo un poco de hematoma distal en el primer dedo.. Vamos a esperar y que siga bien.

Fui a la clínica de Miguel Angel y me llevé una grata sorpresa, en uno de sus gabinetes tenía puesto en la pared un cuadro con la insignia de Podología en esmalte, el cual era de su abuelo y el cual, fue realizado por mi madre. Mi madre pintó en esmalte varios cuadros con la insignia de la Podología y le regaló uno a cada uno de los amigos podólgos de mi padre. El abuelo de Miguel Angel era José María Agudo, gran amigo de mi padre y el primer podólogo que utilizó los Rayos X en España, uno de esos aparatos antiguos, y estoy hablando de hace unos 30 años, para que algunos vean como ha evolucionado esto. Algunos piensan que los Rayos X utilizados por los podólgos es cosa de ahora; una cosa es lo que se ha conseguido en los últimos años y otra cosa en lo que se hacía ya hace muchos años por un grupo de podólogos que fueron los pioneros de la Podología Española entre los que estaban entre otros, el abuelo de Miguel Angel, Leonardo Escachs, Juan Vidan, Antonio Basas (mi padre), Pablo Vilató, Francisco Morán, Isaías del Moral, Juan Pérez Lázaro, Luis Aycart (padre del prestigioso compañero Luis Aycart), Ricardo Becerro (padre de ese gran docente y profesional que es Ricardo Becerro de Bengoa Vallejo, etc., etc.